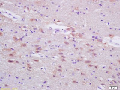
脂肪酸合成酶抗体

期货待确认

¥ 1,980.00 1980.0 CNY ¥ 1,980.00

¥ 1,980.00


    此组合不存在。

    加购物车

    目录号:bs-1498R

    计量单位:PC

    商品规格:100ul

    分享商品:
    无规格
    这是用户近期浏览商品预览.
    只要用户查看过一个商品这个片断就会显示.
    近期浏览商品